
Call: 931 343 3925


Whether it's traditional metal braces or clear braces, Dr. Terrah creates a custom treatment plan for the smile you deserve.
Straighten your teeth without anyone knowing - removable aligners, fewer office visits, and results you'll love.
Early evaluation can prevent bigger problems down the road - complimentary consultations for kids starting at age 7.
Her research has been published in The Angle Orthodontist, one of the world's leading orthodontic journals. She brings that same precision and advanced training to every patient she treats at Spring Hill Smiles.

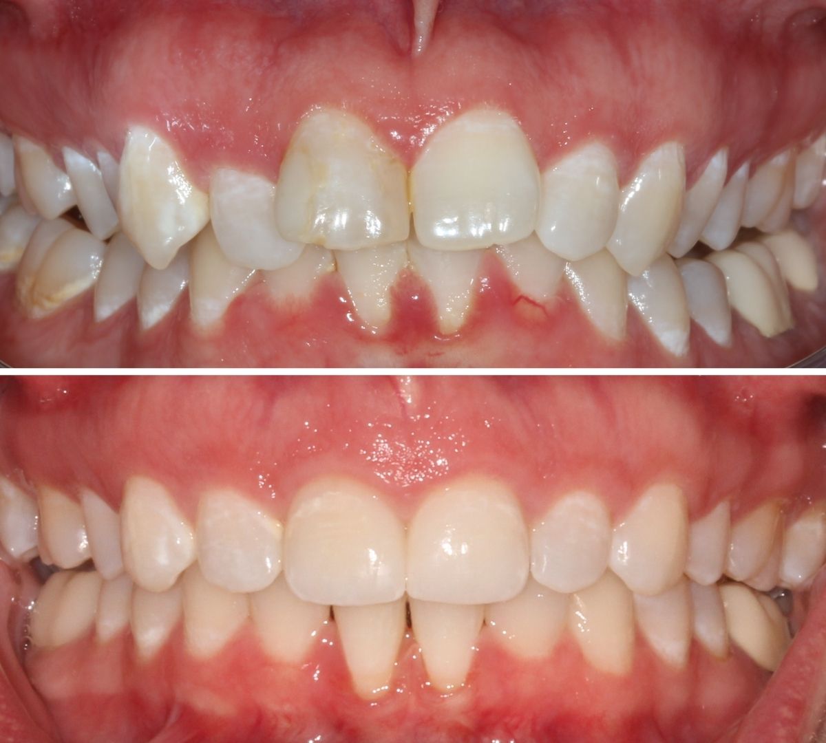
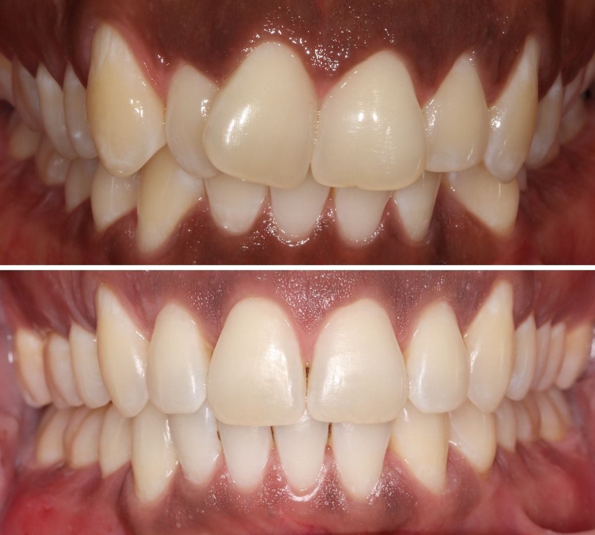
Real Stories from Happy Patients
"I was nervous about starting Invisalign and how it might impact my day-to-day life, but after three months of treatment, I’ve really enjoyed the process. Every visit to the orthodontist is quick and easy, which makes keeping up with appointments a breeze. Highly recommend!"
- Lisa Marie

"They are so nice. They helped my daughter have a better smile. we are so thankful for them. Thank you!!!!"
- Presley

"Dr. Larrabee did my braces many years ago and she did a wonderful job. The permanent retainers she suggested are a life changer"
- Sarah Joss




Every smile is unique! During your complimentary consultation, Dr. Terrah will create a custom treatment plan with transparent pricing. We also offer flexible financing with low monthly payments.
Treatment time varies, but most patients complete braces in 12-24 months. Invisalign can sometimes be faster. Dr. Terrah will give you a clear timeline at your consultation.
Yes! We accept most major dental insurance plans. Our team will verify your benefits before you start.
The American Association of Orthodontists recommends kids get evaluated by age 7. Dr. Terrah specializes in early treatment that can prevent more complex issues later.
Never! More adults than ever are getting braces and Invisalign. Dr. Terrah treats patients of all ages.
Get In Touch
